• Review Article
  • |
  • Open Access

Overview of Orbital Ultrasonography

  • Hadi Khazaei;
    • Division of Oculofacial Plastic, Orbital, and Reconstructive Surgery, Oregon Health and Science University, Portland, Oregon, USA.
  • Danesh Khazaei;
    • Department of Biochemistry & Molecular Biology, Linfield University, McMinnville, Oregon, USA.
  • Davin Ashraf;
    • Division of Oculofacial Plastic, Orbital, and Reconstructive Surgery, Oregon Health and Science University, Portland, Oregon, USA.
  • Shravani Mikkilineni;
    • Division of Oculofacial Plastic, Orbital, and Reconstructive Surgery, Oregon Health and Science University, Portland, Oregon, USA.
  • John D Ng
    • Division of Oculofacial Plastic, Orbital, and Reconstructive Surgery, Oregon Health and Science University, Portland, Oregon, USA.
  • Corresponding Author(s): Hadi Khazaei

  • Casey Eye Institute, Oregon Health & Science University, Portland, Oregon, 97239, USA.

  • khazaei@ohsu.edu

  • 503-494-3010, Fax: 503-494-3011;

  • Khazaei H (2022).

  • This Article is distributed under the terms of Creative Commons Attribution 4.0 International License

Received : Apr 12, 2022
Accepted : May 05, 2022
Published Online : May 09, 2022
Journal : Annals of Ophthalmology and Visual Sciences
Publisher : MedDocs Publishers LLC
Online edition : http://meddocsonline.org

Cite this article: Khazaei H, Khazaei D, Ashraf D, Mikkilineni S, Ng JD. Overview of Orbital Ultrasonography.Ann Ophthalmol Vis Sci. 2022; 5(1): 1028.

Introduction

      Ultrasonography contains a wide selection of clinical indications. For instance, when examining a patient with ocular discomfort or pain, clinicians will use ultrasound to ensure a diagnosis of inflammation, orbital myositis, or dacryoadenitis. Imaging is often used to identify retrobulbar tissue, as well as the extraocular muscles, in patients with symptoms and suspected soft tissue enlargement secondary to Graves’ disease.

      There are various forms of diseases that involve the orbit and therefore the discussion of those disorders are often organized in line with the etiology (e.g., infection, inflammation, neoplasm) or by anatomic location.

      Ultrasonography generates sound waves at frequencies beyond the limit of human hearing abilities through electrical stimulation of the customized crystal mounted on the tip of the oscillatory probe [1,2]. These sound waves propagate through tissues and endure partial reflection back to their starting point when the wave passes through layers of various resistance [1,2]. When the wavefront returns to the transducer located in the ultrasound probe, it generates electrical energy where it is amplified and converted to a positive sine wave which is displayed as an image [1,2].

      The images created by ultrasound are not based on the density of the tissues but rather on the variation of densities detected once the sound waves pass from one medium to another [1]. When different adjacent materials have a large gap in densities-water and air, for example-the coefficient of reflection of the sound waves at their interface is substantial, creating a noticeable acoustic echo [1,4]. Usually, diagnostic A-scan (A stands for amplitude) is restricted to academic-based centers and ocular oncology practices [1,4]. For patients with choroidal tumors, the addition of diagnostic A-scan aids in the analysis of disease progressions as well as internal acoustic characteristics and assessment of additional scleral extension [8-10].

      B-scan (brightness-mode) enhances the A-scan because it provides a two-dimensional image of orbital and intraocular tissues [1,4]. One of the foremost common strategies for orbital evaluation uses a series of 5 B-scans bearing on clock hours. Four dynamic crosswise scans and one static longitudinal scan are customized to reconstruct the posterior section and orbit [1]. The advantage of transversal and longitudinal scans compared with an axial scan is that the scans bypass the lens. Even as the lens refracts and reflects incoming light-waves it additionally reflects sound waves. By not aiming the probe through the middle of the lens, orbital structures may be imaged with the very best resolution and image quality attainable [1,12].

      Routinely, contact B-scan pictures are achieved through the patient’s closed eyelids; but, to avoid the attenuation of the signal passing through the lids, the probe may be placed directly onto the conjunctiva following instillation of anesthesia [1,4]. Instead of asking the patient to close their eyes, which makes it troublesome for a patient to maintain fixation and for the practitioner to locate the probe, the scan may be performed with the patient’s eyes open [1].

      It’s useful to start with the device’s gain at its neutral level to permit analysis of lesions with a weak signal, like posterior vitreous detachment or vitreous opacities. By lowering the gain, lesions like intraocular masses become more evident. Changing the gain, either higher or lower maximizes the appearance of the lesion. Time Gain Compensation (TGC) is a setting applied in diagnostic ultrasound imaging to account for tissue attenuation. By increasing the received signal intensity with depth, the artifacts in the uniformity of a B-mode image intensity are reduced. The purpose of TGC is to normalize the signal amplitude with time, compensating for depth.

Discussion

      Imaging studies are commonly used to determine the specific location of the disease within the orbit, anatomic structures involved, degree of inflammation, the shape of infiltrated tissues, and involvement of sinuses, nasal passages, and intracranial structures. Radiographic examination of the orbit usually involves Computerized Tomography scan (CT), and Magnetic Resonance Imaging (MRI) with intravenous contrast and is incredibly useful in narrowing the differential diagnoses and assessing the location and extent of the disease process [11]. Orbital ultrasound also has a wide range of clinical indications. For example, following examination of a patient with ocular discomfort or pain, clinicians can use ultrasonography to help confirm a diagnosis of scleritis, orbital myositis, or dacryoadenitis. Clinicians can use ultrasonography to evaluate retrobulbar tissue, including the extraocular muscles, in a patient with exophthalmos and suspected soft tissue expansion secondary to Graves’ disease [12].

      Although imaging can help narrow the range of diagnoses to consider, images are only useful in that they reveal patterns and locations of tissue involvement which may statistically be more common in certain disease entities. Imaging is often not specific enough to verify exact disease entities or obviate a biopsy.

      Ossining’s standardized echography (A scan + B scan) could also be useful in orbital ultrasound. In line with this technique, screening for lesion detection is followed by echography for characterization of a lesion in terms of location, shape, margins, and extension. Quantitative echography is then performed for assessment of the interior structure of a lesion, its reflectivity, and therefore the absorbance/attenuation of ultrasound waves (A-scan). Next, wave attenuation (absorption) is evaluated on the calculation of angle kappa, the angle between an imaginary line through the lesion peaks with the A-scan baseline. Angle kappa >45° denotes high echo attenuation, angle kappa = 45° represents moderate echo attenuation, and angle kappa< 45°indicates low echo attenuation. Finally, kinetic echography is done to obtain information about lesion mobility, its elasticity/strain, and vascularity. This evaluation also involves the use of color Doppler [13].

      Because the image quality and interpretation usually depend upon the echographer, diagnostic sensitivities conferred within the literature for specific conditions and diagnoses vary considerably. Diagnostic sensitivity is especially high in large trials performed in educational centers or ocular oncology practices that hire trained ultra-sonographers. In clinical settings, clinicians will expect considerably lower diagnostic sensitivity than highly advanced imaging centers where they have necessary diagnostic and prognostic tools for retinal and choroidal lesions like retinal or choroidal hemangiomas, choroidal nevi, melanomas, nonmalignant tumors and sclerochoroidal calcifications [1,3,8-10]. The Collaborative Ocular Melanoma Study, a long-run, multicenter cluster of randomized, controlled clinical trials, established imaging as a standard of care in the analysis of ocular melanomas and nevi [8]. Recently, researchers have used imaging to spot lesion-based risk factors for prognosis and survival [9,10].

      Challenges to using imaging are generally associated with the clinician’s familiarity with the technique and competence level with image interpretation. Whereas highly-trained, highly-skilled echographers are true specialists with the art of acquiring and decoding pictures, an understanding of the fundamental technique of performing the scan and deciphering its results are still quite helpful in clinical practice.

      Ultrasonography contains a wide selection of clinical indications. For instance, when examining a patient with ocular discomfort or pain, clinicians will use ultrasound to ensure a diagnosis of inflammation, orbital myositis, or dacryoadenitis. Imaging is often used to identify retrobulbar tissue, as well as the extraocular muscles, in patients with symptoms and suspected soft tissue enlargement secondary to Graves’ disease.

      Ultrasonography contains a wide selection of clinical indications. For instance, when examining a patient with ocular discomfort or pain, clinicians will use ultrasound to ensure a diagnosis of inflammation, orbital myositis, or dacryoadenitis. Imaging is often used to identify retrobulbar tissue, as well as the extraocular muscles, in patients with symptoms and suspected soft tissue enlargement secondary to Graves’ disease [14].

      Inflammatory diseases of the orbits could also be infectious or noninfectious. Of the infectious, orbital cellulitis is the commonest and generally arises as a complication of acute sinusitis. Of the noninfectious, inflammatory conditions, thyroid orbitopathy is the commonest and leads to enlargement of the extraocular muscles and proliferation of the orbital fat. Idiopathic orbital inflammatory syndrome is another reason for inflammation within the orbit, which can mimic thyroid orbitopathy or perhaps tumor, but generally presents with pain [14].

      Standard ultrasound images are typically obtained in an antero-posterior direction either during a cross, axial or longitudinal plane, or during a plane slightly oblique to one of these planes. Some ocular pathologies could be viewed from a mediolateral orientation or oblique orientation, and these views might not be adequately achieved using standard two-dimensional ultrasound (Figure 1).

Figure 1: Orbital ultrasonography instructional diagram(Created with BioRender.com).

Standard operating procedure for orbital ultrasonography:
1) Complete consent and authorization form
2) Clean and prepare the site of interest and ultrasound probe
3) Apply sterile coupling agents on ultrasound probe headpiece
4) Connect the probe to mobile device and launch the app
5) Select the appropriate preset to start scanning
a. Horizontal linear scan (medial orientation) - adjust depth and ΔTGC
b. Vertical linear scan (superior orientation) - adjust depth and ΔTGC
c. Lateral vertical oblique scan (Ossoinig technique + doppler) - optic nerve assessment
d. Horizontal linear (Lacrimal gland) scan - volumetric and ΔTGC
6) 3D scan/Cine recording of orbit

Conclusion and future needs

      Pathological processes inside the orbits are a heterogeneous cluster of diseases of varied etiologies, clinical entities, and pathological models. Because of poor access to the orbits during a clinical examination, imaging plays a vital role in both identification and treatment monitoring in patients with an orbital pathology [13]. It is indicated, for instance, in exophthalmos, globe mobility disorders, globe displacement, lacrimal gland swelling, endocrine orbitopathy, suspicion of muscle inflammation or scleritis, orbital injury, optic disc oedema, choroidal folds, abrupt refractive changes (hyperopia, astigmatism), episcleral vein dilation, and globe or orbital pain of unclear etiology [13].

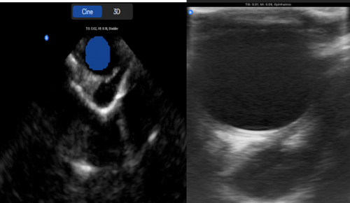
      The goal of 3D imaging is to reconstruct the orbit into a three-dimensional image using multiple two-dimensional B-scans. While it is difficult to understand what every image represents when piecing the two-dimensional B-scan pictures to reconstruct the eye and orbit in 3 dimensions, there are several approaches and individual methods to the examination, the secret to which is to make sure there is an organized, repeatable approach to evaluating the complete orbit and globe (Figure 2).

Figure 2: Large Orbital Mass with delineation and 3D configuration extended to extraconal space using Butterfly IQ+ Handhold Ultrasound. (Same lesion shown in B scan for comparison).

      The application of color-coded Doppler ultrasonography is especially important in the assessment of the vasculature of retrobulbar tumorous lesions and in the differential diagnosis of intraocular tumors [15]. In a time of profound technological advancement in ocular imaging, orbital ultrasonography has often been relegated to a niche/ancillary test. With the affordability of available ultrasonography systems, now is the time to take advantage of the many applications of ultrasonography to best serve your patients.

      This review is adhered to the ethical principles outlined in the Declaration of Helsinki as amended in 2013.

Acknowledgment

      HK drafted the manuscript. All the authors edited the manuscript jointly and approved the final manuscript. The authors thank

      Dr. Kaneez Abbas for critical feedback and helping to develop the search strategy and proofreading.

References

  1. Singh AD, Hayden BC. Ophthalmic ultrasonography. Philadelphia: 2012.
  2. Dessì G, Lahuerta EF, Puce FG, Mendoza LHR, Stefanini T, et al. Role of B-scan ocular ultrasound as an adjuvant for the clinical assessment of eyeball diseases: A pictorial essay. Journal of Ultrasound. 2015; 18: 265-277.
  3. Scott IU, Smiddy WE, Feuer WJ, Ehlies The impact of echography on evaluation and management of posterior segment disor- ders. Am J Ophthalmol. 2004; 137: 24-29.
  4. Silverman RH. Focused ultrasound in ophthalmology. Clin Oph- 2016; 10: 1865-1875.
  5. Lamy R, Chan E, Lee O, Phone A, Salgaonkar V, et al. 880 kHz ultrasound treatment for drug delivery to the vitreous humor. Am J Translational 2018; 10: 3162-3170.
  6. Aptel F, Lafon C. Therapeutic applications of ultrasound in ophthalmology. Int J of 2012; 28: 405-418.
  7. Haarman AEG, Enthoven CA, Tideman JWL, Tedja MS, Verhoeven VJM, et al. The Complications of Myopia: A Review and Meta-Analysis. Invest Ophthalmol Vis 2020; 61: 49.
  8. Boldt HC, Byrne SF, Gilson MM, Finger PT, Green RL, et Base line echographic characteristics of tumors in eyes of patients enrolled in the Collaborative Ocular Melanoma Study: COMS report no. 29. Ophthalmology. 2008; 115: 1390-1397.
  9. Shields CL, Dalvin LA, Ancona-Lezama D, Yu MD, Di Nicola M, et al. Choroidal Nevus Imaging Features in 3,806 Cases and ask Factors for Transformation into Melanoma in 2,355 Cases: The 2020 Taylor R. Smith and Victor T. Curtin Lecture. Retina. 2019; 39: 1840-1851.
  10. Shields CL, Dalvin LA, Yu MD, Ancona-Lezama DA, Di Nicola M, et Choroidal Nevus Transformation Into Melanoma Per Millimeter Increment In Thickness Using Multimodal Imaging In 2355 Cases: The 2019 Wendell L. Hughes Lecture. Retina. 2019.
  11. Shields CL, Kaliki S, Rojanaporn D, Ferenczy SR, Shields JA. Enhanced Depth Imaging Optical Coherence Tomography of Small Choroidal Melanoma: Comparison with Choroidal Nevus. Arch 2012; 130: 850-856.
  12. Rajagopal R, Mitchell E, Sylvester C, Lope LA, Nischal KK. Detection of Optic Disc Drusen in Children Using Ultrasound through the Lens and Avoiding the Lens Point of Care Ultrasound Technique of Evaluation Journal of Clinical Medicine. 2019; 8.
  13. Karolczak-Kulesza M, Rudyk M, Niestrata-Ortiz M. Recommendations for ultrasound examination in ophthalmology. Part II: Orbital ultrasound. Journal of Ultrasonography. 2018; 18: 349-
  14. Cunnane MB, Curtin HD. Imaging of orbital disorders. Handb Clin 2016; 135:659-672.
  15. Modrzejewska Guidelines for ultrasound examination in ophthalmology. Part III: Color Doppler ultrasonography. J Ultrason. 2019; 19: 128-136.

MedDocs Publishers

We always work towards offering the best to you. For any queries, please feel free to get in touch with us. Also you may post your valuable feedback after reading our journals, ebooks and after visiting our conferences.