• Case Report
  • |
  • Open Access

Left Frontal Intracerebral Haemorrhage and Pneumocephalus Following Functional Endoscopic Sinus Surgery: A Rare Postoperative Complication

  • Aysharasmin Manamkandath*;
    • University Hospitals of North Midlands (UHNM), West Midlands, UK.
  • Corresponding Author(s): Aysharasmin Manamkandath

  • University Hospitals of North Midlands (UHNM), West Midlands, UK.
    Tel: +447405852705;

  • aysharasmin@icloud.com

  • Manamkandath A (2025).

  • This Article is distributed under the terms of Creative Commons Attribution 4.0 International License

Received : Sep 23, 2025
Accepted : Oct 08, 2025
Published Online : Oct 15, 2025
Journal : Annals of Otolaryngology Research
Publisher : MedDocs Publishers LLC
Online edition : http://meddocsonline.org

Cite this article: Manamkandath A. Left Frontal Intracerebral Haemorrhage and Pneumocephalus Following Functional Endoscopic Sinus Surgery: A Rare Postoperative Complication. Ann Otolaryngol Res. 2025; 2(2): 1002.

Abstract

Pneumocephalus and intracerebral haemorrhage are uncommon but serious complications of Functional Endoscopic Sinus Surgery (FESS). We describe the case of a 75-year-old male who developed left frontal intracerebral haemorrhage and pneumocephalus following revision FESS. The initial presentation with reduced responsiveness and right-sided neurological deficit prompted urgent neuroimaging, which demonstrated intracranial air and haemorrhage secondary to ethmoidal breach. Conservative management was pursued with close neurological monitoring and antibiotic prophylaxis. Serial imaging demonstrated radiological improvement with clinical recovery, avoiding the need for surgical re- exploration. This case underscores the importance of multidisciplinary assessment and highlights the potential for non-operative management in select patients with postFESS complications.

Keywords: FESS; Pneumocephalus; Intracerebral haemorrhage; Postoperative complication; Cribriform breach; Case report.

Introduction

Functional Endoscopic Sinus Surgery (FESS) is commonly performed for chronic rhinosinusitis and nasal polyposis. Although considered relatively safe, complications can occur in 0.5–1.5% of cases, including Cerebrospinal Fluid (CSF) leak, orbital injury, and, rarely, intracranial complications such as pneumocephalus or haemorrhage [1,2]. Pneumocephalus following FESS is typically due to iatrogenic breach of the skull base, most commonly the cribriform plate.

Concomitant intracerebral haemorrhage is exceptionally rare and presents a diagnostic and therapeutic challenge.

Functional Endoscopic Sinus Surgery (FESS) is widely performed for chronic rhinosinusitis and nasal polyps. While generally safe, complications such as Cerebrospinal Fluid (CSF) leak, orbital injury, or rare intracranial events can occur. Pneumocephalus and intracerebral haemorrhage following FESS are exceptionally uncommon, particularly in the absence of direct intraoperative trauma or known coagulopathy. We present a case of post-FESS left frontal ICH and pneumocephalus in an elderly patient, initially mimicking stroke, but ultimately linked to surgical breach of the cribriform plate.

Case presentation

A 75-year-old man underwent elective bilateral revision FESS for recurrent right-sided nasal polyps. His history included a previous FESS in 2014 and burr hole drainage of a chronic subdural haematoma in 2019. Initial recovery was unremarkable. On the evening of surgery, he became confused, vomited coffee-ground emesis, and was noted to have right- sided weakness and facial droop. GCS was E4V4M6, BP elevated at 230/120 mmHg. A CT brain showed a left frontal intracerebral haemorrhage with pneumocephalus and a suspected breach of the ethmoid sinus.

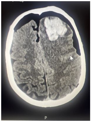
Neurosurgical review advised conservative management with IV antibiotics and close monitoring. Serial imaging showed a progressive reduction in pneumocephalus.

Neurological function improved gradually, with return of motor power and resolution of confusion. No CSF leak was observed. Endoscopic re-exploration was deferred as imaging suggested spontaneous sealing of the cribriform defect. The patient was discharged with outpatient ENT follow-up and remained neurologically stable.

Figure 1: Sociodemographic characteristics of pregnant women in Cotonou.

Figure 2: Follow-up CT showing reduced pneumocephalus and improving mass effect.

Discussion

Pneumocephalus is a rare complication of FESS, typically resulting from bony breach of the skull base, often at the cribriform plate. While asymptomatic cases may resolve spontaneously, intracerebral haemorrhage is exceedingly rare. In this case, multidisciplinary evaluation supported a surgical origin of the ICH and air entry.

Conservative management proved effective, reinforcing the need for vigilance in postoperative monitoring and the benefit of serial imaging.

Conclusion

This case underscores the importance of recognising rare but serious complications of FESS. In elderly patients, timely multidisciplinary input and conservative strategies can yield favourable outcomes even in the context of intracranial events.

Pneumocephalus as a complication of FESS is well-documented but uncommon, typically resulting from surgical breach of the anterior skull base, particularly the cribriform plate [1]. It may present with headache, neurological deficit, or be discovered incidentally on imaging. Management is usually conservative unless complicated by CSF leak or neurological deterioration [3]. Intracerebral haemorrhage, however, is rarely reported. The current case presented a diagnostic dilemma mimicking acute stroke. The gradual resolution of pneumocephalus and absence of CSF leak supported a non-operative approach. Serial imaging played a critical role in decision-making, and the patient improved without further surgical intervention.

References

  1. Stammberger H, Posawetz W. Functional endoscopic sinus surgery: concept, indications and results of the Messerklinger technique. Eur Arch Otorhinolaryngol. 1990; 247: 63–76.
  2. Harvey RJ, Dalgorf DM, Kalish LH, et al. Systematic review on the safety of endoscopic sinus surgery. Am J Rhinol. 2006; 20: 495–503
  3. Chiu AG, Vaughan WC. Revision endoscopic sinus surgery. Otolaryngol Clin North Am. 2004; 37: 273–287.

MedDocs Publishers

We always work towards offering the best to you. For any queries, please feel free to get in touch with us. Also you may post your valuable feedback after reading our journals, ebooks and after visiting our conferences.