• Research Article
  • |
  • Open Access

Tarsal Coalition Resection and Arthroereisis as a Treatment Option of Symptomatic Rigid Flat Foot in Pediatric Population

  • Michael Zaidman, MD, PhD*;
    • Department of Pediatric Orthopedics, Hadassah Hebrew University Medical Center, Jerusalem, Israel.
  • Naum Simanovsky, MD;
    • Department of Pediatric Orthopedics, Hadassah Hebrew University Medical Center, Jerusalem, Israel.
  • Vladimir Goldman, MD;
    • Department of Pediatric Orthopedics, Hadassah Hebrew University Medical Center, Jerusalem, Israel.
  • Anas Mustafa, MD;
    • Department of Pediatric Orthopedics, Hadassah Hebrew University Medical Center, Jerusalem, Israel.
  • Amir Haze, MD;
    • Department of Pediatric Orthopedics, Hadassah Hebrew University Medical Center, Jerusalem, Israel.
  • Yechiel Gellman, MD;
    • Department of Pediatric Orthopedics, Hadassah Hebrew University Medical Center, Jerusalem, Israel.
  • Eden Weisstub
    • Department of Pediatric Orthopedics, Hadassah Hebrew University Medical Center, Jerusalem, Israel.
  • Corresponding Author(s): Michael Zaidman

  • Department of Orthopedic Surgery, Pediatric Orthopedic Unit, Hadassah Medical Center P.O. Box 12000, Jerusalem IL 9112, Israel.
    Tel: +972-2-6779564, Fax: +972-2-6779115;

  • orthmz@gmail.com

  • Zaidman M (2025).

  • This Article is distributed under the terms of Creative Commons Attribution 4.0 International License

Received : July 14 2025
Accepted : Aug 13, 2025
Published Online : Online: Aug 20, 2025
Journal : Annals of Pediatrics
Publisher : MedDocs Publishers LLC
Online edition : http://meddocsonline.org

Cite this article: Zaidman M, Simanovsky N, Goldman V, Mustafa A, Haze A, et al. Tarsal coalition resection and arthroereisis as a treatment option of symptomatic rigid flat foot in pediatric population. Ann Pediatr. 2025; 8(2): 1156.

Abstract

Objectives: Our study aimed to assess the clinical and radiographic outcomes of symptomatic tarsal coalition resection in combination with arthroereisis.

Methods: We retrospectively analyzed the clinical and radiographic outcomes in twelve patients (eighteen feet) who underwent tarsal coalition resection followed by arthroereisis. Clinical outcomes were assessed by the American Orthopedic Foot and Ankle Society (AOFAS) Ankle-Hindfoot Scale. Radiographic outcomes were assessed by comparison of preoperative and postoperative calcaneal pitch angle, Meary’s angle, and talonavicular coverage angle on weight-bearing radiographs.

Results: The mean preoperative talonavicular coverage angle was 19.22o, which improved to a mean postoperative angle of 5.11º (p< 0.00001). The calcaneal pitch angle increased from a preoperative mean of 8.22o to a postoperative mean of 16.72o (p<0.00001). The mean preoperative Meary’s angle improved from -11.28o to a postoperative mean of 1.89º (p<0.00001). The mean preoperative AOFAS score improved from 57.17 to 92.22 points postoperatively (p<0.00001). No complications necessitating revision surgery or rehospitalization were observed.

Conclusion: The combined approach of coalition resection and arthroereisis provides significant symptoms relief and hindfoot deformity correction and may be recommended as a treatment option.

Keywords: Tarsal coalition; Arthroereisis; Rigid flat foot; Pediatric population.

Introduction

Tarsal coalition is a well recognized cause of symptomatic rigid flat feet in adolescents [1-3]. Unfortunately, conservative treatment often fails to provide lasting symptom relief, necessitating surgical intervention [4,5]. As the coalition matures and solidifies over time, pain and foot deformity tend to worsen. The initially limited subtalar range of motion progressively deteriorates, leading to a stiff or rigid foot. As the child grows, the stress on the deformed foot increases, potentially causing adaptive changes around the subtalar and Chopart joints, which may result in a painful spastic flat foot. [4].

While isolated coalition resection was commonly accepted in the past, more recent approaches recommend not only resection but also correction of any associated hindfoot malalignment, as it may contribute to persistent pain [6]. However, determining the optimal surgical approach remains challenging, and the treatment algorithm is still evolving [7].

The objective of this study was to assess the outcomes of combining tarsal coalition resection with arthroereisis as a treatment approach for symptomatic rigid flat foot in the pediatric population.

Patients and methods

Approval of the study was granted by the Institutional Review Board (0074-25-HMO). We retrospectively reviewed the medical records, radiographs, and CT scans of children who underwent symptomatic calcaneonavicular or talocalcaneal coalition resection followed by arthroereisis between 2019 and 2024. The inclusion criteria comprised children aged 10–12 years who presented with symptomatic tarsal coalition and a rigid flatfoot, having failed conservative management—soft insoles with medial-arch support, activity modification, anti-inflammatory medication, or immobilization in a short-leg walking cast for 5–6 weeks.

The exclusion criteria included patients older than 13 years, those with any prior foot surgery, or those affected by neuromuscular disorders.

Demographic, clinical, and radiographic variables were systematically reviewed. Pre- and postoperative evaluations encompassed foot alignment, subtalar range of motion (ROM), the single-leg heel-rise and Silfverskiöld tests, and standing anteroposterior and lateral radiographs. Subtalar ROM was additionally quantified with the patient under general anesthesia immediately before surgery.

Preoperative and postoperative calcaneal pitch angle (normal range: 18-32 degrees), Meary’s angle (normal range: -4 to +4 degrees), and talonavicular coverage angle (normal <7 degrees) [8-9] were compared on anteroposterior and lateral weight-bearing radiographs. CT scans were used to confirm the presence of the coalition radiographically. Hindfoot valgus measurements were performed on coronal CT reformats, with a valgus angle greater than 16 degrees considered the upper threshold for performing isolated resection of the coalition (RC) (Figure 1) [6-7,10].

Clinical outcomes were evaluated using the American Orthopedic Foot and Ankle Society (AOFAS) Ankle-Hindfoot Score, which is categorized as excellent (90-100 points), good (80-90 points), fair (70-80 points), or poor (<70 points) [11]. Preoperative scores were compared with postoperative results.

Operative procedure

Coalition resection was performed using established surgical techniques [12-14], with the application of a tourniquet and guidance from C-arm imaging. Careful attention was given to achieving complete resection of the coalition and restoring subtalar motion by the end of the procedure. To address the defect created following resection, structured fat, harvested either from the upper thigh or if it was significant fat pad from the sinus tarsi, was employed. In addition, bone wax was routinely applied to the exposed bony surfaces of the resected coalition.

The author’s preferred method of arthroereisis involves the insertion of a 6.5 mm cancellous bone screw (AO large fragment set) near the anterolateral edge of the posterior facet of the subtalar joint, positioned under the lateral process of the talus. This screw functions as a calcaneo-stop screw, preventing excessive hindfoot eversion and maintaining the subtalar joint in a more aligned position (Figure 1). At the end of procedure, the foot alignment evaluated to exclude hindfoot valgus overcorrection. The decision of gastrocnemius recession was made at the end of the procedure based on Silfverskiöld test.

A soft dressing was applied after the surgery. Weight bearing as tolerated and ROM exercises were initiated on the first postoperative day. All patients were discharged from the hospital the day after surgery. The first outpatient clinic follow-up occurred two to three weeks postoperatively, followed by visits at six weeks, three months, and six months.

Statistical analysis was performed using Student’s t-test and in instances of non-normal distribution, the Mann-Whitney U test was used. Statistical significance was set to 5%. The Shapiro-Wilk test assessed the normality of data distribution. Statistical analyses were performed using IBM SPSS Statistics for Windows, Version 26.0, released in 2019 by IBM Corp., Armonk, NY, USA.

Results

The study included twelve otherwise healthy patients (eighteen feet), consisting of 6 boys and 6 girls, with a mean age of 11.3 years (range 10 to 12.9 years) (Table 1). Seven patients (12 feet) underwent calcaneonavicular coalition, while five patients (six feet) talocalcaneal coalition resection followed by arthroereisis. The mean follow-up duration was 36.7 months (range 4 to 52 months) (Table 1). None of the patients met the criteria for isolated RC [13]. One patient (one foot) underwent a gastrocnemius recession during the same operation. In patients with bilateral coalition, surgery on the contralateral side was performed several months later, according to the family’s preference. One patient underwent simultaneous surgery on both feet.

table 1 Table 1

Table 1: Demographic, radiographic, and clinical data.

RT: right; LT: left; M: male; F: Female, CN: Calcaneo-navicular; TC: Talocalcaneal; Abs: Absent; ROM: Range of motion.

All radiographic parameters significantly improved (Tables 2 & 3, Figure 2). The mean preoperative talonavicular coverage angle was 19.22o (range 33o to 8º), which improved to a mean postoperative angle of 5.11º (range 0º to 10º), (p<0.00001). The calcaneal pitch angle increased from a preoperative mean of 8.22º (range 0º to 14º) to a postoperative mean of 16.72º (range 7º to 26º), (p<0.00001). The mean preoperative Meary’s angle improved from -11.28º (range -21º to -5º) to a postoperative mean of 1.89º (range -4º to 4º), (p<0.00001). At the final follow-up, three patients (5 feet) exhibited mild postoperative hindfoot valgus with some residual flatfoot deformity with no functional limitation.

table 2 Table 2

Table 2: Radiographic and clinical data.

RT: right; LT: left; AOFAS: American Orthopedic Foot and Ankle Society Ankle Hindfoot Score.

table 3 Table 3

Table 3: Mean values and significances of radiographic and clinical data.

Mann-Whitney test p value

All patients reported significant relief of symptoms. The mean preoperative AOFAS score improved from 57.17 to 92.22 points postoperatively (range 80-100 points), (p<0.00001). In fourteen of the eighteen feet, the overall clinical outcome was considered excellent (ranging from 90 to 100 points), while in four feet, the outcome was rated as good (ranging from 80 to 87 points) (Tables 2 & 3). In all patients’ subtalar range of motion remained restored (Figure 2). The two patients (two feet) who underwent talocalcaneal RC demonstrated slightly limited subtalar motion. (Table 1). At the final follow-up, three patients (four feet) reported mild intermittent discomfort over the operated area, primarily occurring after intensive sport activity.

No patient experienced functional limitations in regular activities. No complications requiring re-operation or hospitalization were observed in this cohort.

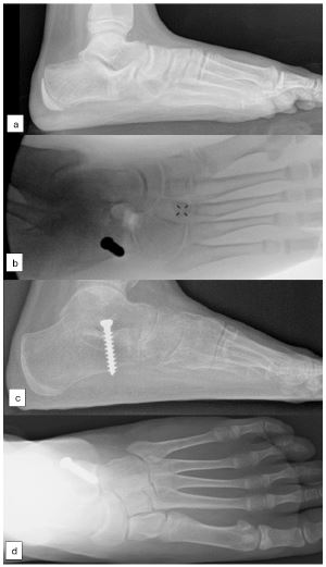
Figure 1: Preoperative standing radiograph of calcaneo-navicular coalition (A); Intraoperative fluorogram (B); Corrected calcaneal pitch, talo-navicular coverage and Meary’s angle after coalition excision and arthroereisis (C,D).

Figure 2: Hindfoot valgus correction (A,B) and restoration of subtalar motions (C) after coalition excision and arthroereisis.

Figure 3: Preoperative CT scan of talo-calcaneal coalition (A); Intraoperative fluorogram after coalition resection and arthroereisis (B); Corrected calcaneal pitch, talo-navicular coverage and Meary’s angle after coalition excision and arthroereisis (C,D,E); hindfoot valgus correction (F) and restoration of subtalar motions (G) after coalition excision and arthroereisis.

Discussion

In our cohort, resection of talocalcaneal and calcaneonavicular coalitions combined with arthroereisis restored subtalar motion, markedly relieved symptoms, corrected hindfoot deformity, and was associated with a low complication rate.

Our findings align with those of Mousa et al., [15] who evaluated the use of arthroereisis following talocalcaneal coalition resection in a cohort of 14 adolescent patients (15 feet). Their study demonstrated similarly favorable outcomes in terms of deformity correction and symptom relief, supporting this approach as an effective method for managing symptomatic flatfoot associated with talocalcaneal coalition.

Isolated RC seldom guarantees pain relief or sufficient deformity correction. Earlier studies similarly report that RC alone often fails to resolve a stiff or rigid flatfoot [13-14]. In our series, all patients had a hind-foot valgus angle greater than 16°, exceeding the threshold at which standalone RC is considered adequate [13] and therefore requiring complementary procedures. A rigid valgus foot with Chopart-joint malalignment is thought to provoke pain and disrupt the mechanics of the calcaneopedal unit [16-17]. In pediatric patients, non-fusion options comprise calcaneal osteotomies—most commonly the Calcaneal Lengthening Osteotomy (CLO)—and subtalar arthroereisis [18]. Both techniques are well-established treatments for flexible flatfoot and afford substantial corrective potential [18]. Subtalar arthroereisis yields excellent outcomes in children aged 8–12 years [19-20]. By limiting excessive hind-foot eversion, the implant helps maintain a newly aligned subtalar joint position [18-25].

Arthroereisis offers several advantages as a treatment method. Compared to CLO, arthroereisis requires a shorter operative time, is minimally invasive, and avoids the morbidity associated with bone graft sites. Additionally, the reversibility of the procedure is a significant benefit. No cast immobilization, immediate weight-bearing and range of motion exercises can be initiated directly after the surgery, thereby preventing refusion of coalition resection sites, shortening the rehabilitation process and facilitating quicker reintegration into school and sports activities [26].

Combination of RC and arthroereisis for symptomatic stiff or rigid flat feet provides significant symptoms relief and hindfoot deformity correction and may lead to better patient outcomes for patients up to 13 years of age and may be recommended as a treatment option.

The study limitations are - the retrospective design, small sample size. A longer-term follow-up is also necessary to fully assess the durability of the outcomes. Future studies comparing the combination of coalition resection with lateral column lengthening osteotomy versus coalition resection with arthroereisis could provide more robust data to guide clinical decision-making.

Author declarations

Author contributions

Conceptualization: Michael Zaidman, Naum Simanovsky, Eden Weisstub; methodology: Michael Zaidman, Eden Weisstub, Naum Simanovsky, Yechiel Gellman, Amir Haze, Anas Mustafa; validation: Michael Zaidman, Eden Weisstub, Naum Simanovsky, Amir Haze, Yechiel Gellman, Vladimir Goldman, Anas Mustafa; formal analysis: Michael Zaidman; investigation: Michael Zaidman, Eden Weisstub, Naum Simanovsky, Vladimir Goldman, Amir Haze, Yechiel Gellman, Anas Mustafa; data curation: Michael Zaidman, Eden Weisstub, Vladimir Goldman, Anas Mustafa; writing - original draft preparation: Michael Zaidman, Eden Weisstub; writing, review and editing: Michael Zaidman, Eden Weisstub, Naum Simanovsky, Vladimir Goldman, Yechiel Gellman, Amir Haze, Anas Mustafa. The manuscript was read and approved by all authors.

Funding

No funding was received for conducting this study.

Conflict of interest

The authors have no relevant financial or non-financial interests to disclose.

Ethical approval

All procedures performed in the study were in accordance with the ethical standards of the institutional and national research committee and with the 1964 Helsinki declaration and its later amendments or comparable ethical standards. The study was approved by institutional review board (0074-25-HMO).

Informed consent

As no identifiable information appears in the process and publishing data, and in keeping with the policies for retrospective review, the informed consent was not required.

References

  1. Rühli FJ, Solomon LB, Henneberg M. High prevalence of tarsal coalition and tarsal joint variants in a recent cadaver sample and its possible significance. Clin Anat. 2003; 16: 411-415.
  2. Harris RI, Beath T. Etiology of spastic flat foot. J Bone Joint Surg Br. 1948; 30: 624-634.
  3. Leonard MA. The inheritance of tarsal coalition and its relationship to spastic flat foot. J Bone Joint Surg Br. 1974; 56: 520-526.
  4. Cowell HR, Elener V. Rigid painful flat foot secondary to tarsal coalition. Clin Orthop Relat Res. 1983; 177: 54-60.
  5. Olney BW, Asher MA. Excision of symptomatic coalition of the middle facet of the talocalcaneal joint. J Bone Joint Surg Am. 1987; 69: 539-544.
  6. Mosca VS, Bevan WP. Talocalcaneal tarsal coalition and the calcaneal lengthening osteotomy: the role of deformity correction. J Bone Joint Surg Am. 2012; 94: 1584-1594.
  7. Luhmann SJ, Schoenecker PL. Symptomatic talocalcaneal coalition resection: indications and results. J Pediatr Orthop. 1998; 18: 748-754.
  8. VanderWilde R, Staheli LT, Chew DE, Malagon V. Measurements of radiographs of the foot in normal infants and children. J Bone Joint Surg Am. 1988; 70: 407-415.
  9. Sangeorzan BJ, Mosca V, Hansen ST Jr. Effect of calcaneal lengthening on relationships among the hindfoot, midfoot, and forefoot. Foot Ankle. 1993; 14: 136-141.
  10. Mosca VS. Principles and management of pediatric foot and ankle deformities and malformations. 1st ed. Philadelphia: Lippincott Williams & Wilkins; 2014.
  11. Kitaoka HB, Alexander IJ, Adelaar RS, et al. Clinical rating systems for the ankle-hindfoot, midfoot, hallux, and lesser toes. Foot Ankle Int. 1994; 15: 349-353.
  12. Wild PH, Torode IP, Dickens DR, Cole WG. Resection for symptomatic talocalcaneal coalition. J Bone Joint Surg Br. 1994; 76: 797-801.
  13. Scranton PE Jr. Treatment of symptomatic talocalcaneal coalition. J Bone Joint Surg Am. 1987; 69: 533-539.
  14. Danielsson LG. Talocalcaneal coalition treated with resection. J Pediatr Orthop. 1987; 7: 513-517.
  15. Ali Mousa A, Howaidy AEF, Mohamed AF, Abd-Ella MM. Coalition excision and corrective osteotomies versus coalition excision and arthroereisis in management of pes planovalgus with talo-calcaneal coalition in adolescents: a randomized controlled trial. Foot Ankle Surg. 2023; 29: 466-474.
  16. Ghanem I, Massaad A, Assi A, et al. Understanding the foot’s functional anatomy in physiological and pathological conditions: the calcaneopedal unit concept. J Child Orthop. 2019; 13: 134-146.
  17. Seringe R, Wicart P; French Society of Pediatric Orthopaedics. The talonavicular and subtalar joints: the “calcaneopedal unit” concept. Orthop Traumatol Surg Res. 2013; 99 Suppl 1: S345-S355.
  18. Chong DY, MacWilliams BA, Hennessey TA, Teske N, Stevens PM. Prospective comparison of subtalar arthroereisis with lateral column lengthening for painful flatfeet. J Pediatr Orthop B. 2015; 24: 345-353.
  19. Li B, He W, Yu G, et al. Treatment for flexible flatfoot in children with subtalar arthroereisis and soft tissue procedures. Front Pediatr. 2021; 9: 656178.
  20. De Pellegrin M, Moharamzadeh D, Strobl WM, Biedermann R, Tschauner C, Wirth T. Subtalar extra-articular screw arthroereisis (SESA) for the treatment of flexible flatfoot in children. J Child Orthop. 2014; 8: 479-487.
  21. Smith C, Zaidi R, Bhamra J, Bridgens A, Wek C, Kokkinakis M. Subtalar arthroereisis for the treatment of symptomatic paediatric flexible pes planus: a systematic review. EFORT Open Rev. 2021; 6: 118-129.
  22. Metcalfe SA, Bowling FL, Reeves ND. Subtalar joint arthroereisis in the management of pediatric flexible flatfoot: a critical review of the literature. Foot Ankle Int. 2011; 32: 1127-1139.
  23. Jerosch J, Schunck J, Abdel-Aziz H. The stop-screw technique: a simple and reliable method in treating flexible flatfoot in children. Foot Ankle Surg. 2009; 15: 174-178.
  24. Pavone V, Costarella L, Testa G, Conte G, Riccioli M, Sessa G. Calcaneostop procedure in the treatment of juvenile symptomatic flatfoot. J Foot Ankle Surg. 2013; 52: 444-447.
  25. Richter M, Zech S. Arthroereisis with calcaneostop screw in children corrects Talo-first Metatarsal Index. Foot Ankle Surg. 2013; 19: 91-95.
  26. Martinelli N, Bianchi A, Martinkevich P, et al. Return to sport activities after subtalar arthroereisis for correction of pediatric flexible flatfoot. J Pediatr Orthop B. 2018; 27: 82-87.

MedDocs Publishers

We always work towards offering the best to you. For any queries, please feel free to get in touch with us. Also you may post your valuable feedback after reading our journals, ebooks and after visiting our conferences.