• Case Report
  • |
  • Open Access

Intraoperative hypertensive crisis in a patient with normotensive primary aldosteronism. Lessons from a clinical case

  • Agnieszka Kuzior;
    • Endocrinology and Nutrition Department, University Hospital of Gran Canaria Doctor Negrin, Las Palmas de Gran Canaria, Spain
  • Manuel Esteban Nivelo-Rivadeneira;
    • Endocrinology and Nutrition Department, University Hospital of Gran Canaria Doctor Negrin, Las Palmas de Gran Canaria, Spain
  • Paula Fernandez-Trujillo-Comenge;
    • Endocrinology and Nutrition Department, University Hospital of Gran Canaria Doctor Negrin, Las Palmas de Gran Canaria, Spain
  • Esperanza Perdomo-Herrera;
    • Escaleritas Primary Healthcare Center, Las Palmas de Gran Canaria, Spain
  • Alba Lucia Tocino-Hernandez;
    • Arucas Primary Healthcare Center, Las Palmas de Gran Canaria, Spain
  • Marta Martin-Perez;
    • Guia Primary Healthcare Center, Las Palmas de Gran Canaria, Spain
  • Paula Gonzalez-Diaz;
    • Arucas Primary Healthcare Center, Las Palmas de Gran Canaria, Spain
  • Maria Victoria Sainz de Aja-Curbelo;
    • Barrio Atlantico Primary Healthcare Center, Las Palmas de Gran Canaria, Spain
  • Ana Delia Santana-Suarez;
    • Endocrinology and Nutrition Department, University Hospital of Gran Canaria Doctor Negrin, Las Palmas de Gran Canaria, Spain
  • Francisco Javier Martinez-Martin
    • Hypertension Outpatient Clinic, University Hospital of Gran Canaria Doctor Negrin, Las Palmas de Gran Canaria, Spain
  • Corresponding Author(s): Francisco Javier Martinez-Martin

  • Hypertension Outpatient Clinic, University Hospital of Gran Canaria Doctor Negrin, Barranco de la Ballena S/N, 35011 Las Palmas de Gran Canaria, Spain

  • dr.j.martinez@gmail.com

  • Martinez-Martin FJ (2019).

  • This Article is distributed under the terms of Creative Commons Attribution 4.0 International License

Received : Apr 22, 2018
Accepted : Jan 25, 2019
Published Online : Jan 30, 2019
Journal : Journal of Nephrology and Hypertension
Publisher : MedDocs Publishers LLC
Online edition : http://meddocsonline.org

Cite this article: Martinez-Martin FJ, Kuzior A, Nivelo-Rivadeneira ME, Fernandez-Trujillo PC, Perdomo-Herrera E, et al. Intraoperative hypertensive crisis in a patient with normotensive primary aldosteronism. Lessons from a clinical case. J Nephrol Hypertens. 2019; 2(1): 1008.

Abstract

Primary hyperaldosteronism is the most frequent cause of secondary hypertension. However, it can also be found in apparently normotensive patients, often associated with recurrent hypokalemia and isolated hypertensive episodes.

We hereby present the case of a normotensive 50 yearold female patient with a surgical left kidney mass; however, after anesthetic induction, surgery was aborted due to a severe hypertensive crisis. She was referred to our Hypertension Outpatient Clinic to rule out pheochromocytoma/paraganglioma. The anamnesis revealed unexplained episodes of hypokalemia. Ambulatory blood pressure monitoring showed normal mean values of blood pressure and heart rate, with an isolated hypertensive peak. Plasma glucose, ions, creatinine, lipids, metanephrines and chromogranin A were normal, but plasma aldosterone was clearly elevated with suppressed plasma renin activity and high aldosterone/renin activity ratio. Primary aldosteronism was confirmed by the captopril test. Abdominal CT was compatible with left adrenal hyperplasia. Treatment with low-dose spironolactone was well tolerated and resulted in normal blood pressure, normokalemia and unsuppressed plasma renin activity. The patient underwent a successful laparoscopic removal of a renal oncocytoma.

We conclude that normotensive primary aldosteronism is not harmless; it can be associated with severe hypokalemia, anxiety, depression, hypertensive crisis and cardiovascular damage. Patients can also develop resistant hypertension. Adequate treatment can decisively improve the survival and quality of life of the patients with primary aldosteronism, but a correct diagnosis is needed first. Therefore, it must be considered as a diagnostic possibility in normotensive patients with unexplained hypokalemia or isolated hypertensive episodes.

Keywords: Normotension; Primary aldosteronism; Intraoperative hypertensive crisis, Anesthetic induction.

Abbreviations: ABPM: Ambulatory Blood Pressure Monitoring; BP: Blood Pressure; CT: Computed Tomography; HR: Heart Rate; MRA: Mineralocorticoid Receptor Antagonists; PA: Primary Aldosteronism; PRA: Plasma Renin Activity.

Introduction

      Primary Aldosteronism (PA) is presently recognized as the most frequent cause of secondary hypertension, accounting for 5-10% of the total cases of hypertension [1]. It is however very largely underdiagnosed, with probably no more than 1-2% of the cases reaching a correct diagnosis [2]. This is not just unfortunate, but a true public health problem [3], because PA is associated with a risk of developing cardiovascular events and mortality well above and beyond that associated with essential hypertension, even when blood pressure levels are comparable [4]. Patients with PA often present with resistant hypertension, but however their blood pressure can be adequately controlled in most cases if the patients receive a specific treatment for PA: Surgery in lateralized lesions, or Mineralocorticoid Receptor Antagonists (MRA) in bilateral or non-surgical lesions, instead of generic antihypertensive treatment [5]. An specific treatment in adequate doses resulting in non-suppressed plasma renin activity (PRA) has been shown to dramatically improve cardiovascular outcomes [6], including development of atrial fibrillation [7], when compared with treatments that do not correct PRA suppression, even if the blood pressure control is adequate. Recent evidence shows that PA is associated with psychiatric manifestations (mainly anxiety and depression) [8], and that specific treatment (surgery or MRA) markedly reduces anxiety and depression scores and enhances quality of life [9].

      All this evidence underscores the decisive importance of a correct diagnosis of PA, without which an adequate specific treatment cannot be initiated [5]. However, the diagnostic procedures may be cumbersome, complicated, expensive, invasive or hardly accessible (especially from the perspective of the Primary Care physician [10]) resulting in an overwhelming majority of undiagnosed cases, treated at best as essential hypertension, with poor outcomes [3].

      The diagnosis of PA is even more difficult in patients who do not present sustained hypertension. Often the key finding in these patients is recurrent or sustained hypokalemia, with clinical manifestations such as muscular weakness, paresthesia or cramps, and more rarely isolated hypertensive episodes [11]. However, in population studies a non-negligible part of the population (up to a 1.8%) has been shown to present biochemical features of PA without known associated hypertension or hypokalemia [12]. Normotensive PA cannot be considered innocuous, as it has been associated with target organ damage [13], including atrial fibrillation [11]; psychiatric manifestations with deteriorated quality of life [8], severe hypokalemia, with possible life-threatening arrhythmias [11], hypertensive crises [11], and accelerated evolution to resistant hypertension [14].

      We hereby present the case of a normotensive patient in which the key symptom that led to the diagnosis of PA was a severe intraoperative hypertensive crisis, which in our knowledge had not been previously reported.

Clinical case

      A 50 year-old woman was referred to our Outpatient Hypertension Clinic from the Urology Dpt. after having presented a severe hypertensive crisis (maximum blood pressure 239/136 mmHg) immediately following a standard anesthetic induction. She had undergone a workup for persistent hematuria and a 4 cm mass in the left kidney had been found in the abdominal CT, with the presumptive diagnosis of hypernephroma. She was referred to our Endocrinology Clinic in order to rule out pheochromocytoma/paraganglioma. Her office blood pressure had always been < 140/90 mmHg.

      The anamnesis disclosed a protracted history of anxiety and depression, treated by her family physician with escitalopram and diazepam. A review of her lab records revealed recurrent hypokalemia (minimum K+ 2.6 mEq/L), of which the patient was unaware. She had never been on treatment with diuretics or laxatives. Her menses were still normal.

      The physical examination was unremarkable, with normal weight (body mass index 22.6 kg/m2), normal seated blood pressure (127/79 mmHg) and heart rate (79 bpm) without additional findings. A 24h ABPM showed normal mean values of blood pressure and heart rate (118/76 mmHg, 77 bpm), with an isolated peak of 234/146 mmHg, 81 bpm at 12:20 pm; the patient did not report any symptom or circumstance related to this remarkable peak (Figure 1).

Figure 1: 24-hour Ambulatory Blood Pressure Monitoring of the patient before treatment. The mean values of blood pressure and heart rate are 118/76 mmHg and 77 bpm, with an isolated peak of 234/146 mmHg, 81 bpm at 12:20 pm.

      The laboratory tests including blood count, plasma glucose and creatinine, estimated glomerular filtration rate, lipid profile, liver enzymes and TSH were normal. Plasma K+ was normal (4.24 mEq/L), but plasma aldosterone was clearly elevated (59 ng/dL), with partially suppressed PRA (0.7 ng/mL/h) and abnormally high aldosterone/renin activity ratio (84.3). Plasma metanephrine (30 pg/mL), normetanephrine (69 pg/mL) and chromogranin A (5.8 ng/mL) were normal, ruling out pheochromocytoma/paraganglioma. A confirmatory captopril test (50 mg, 120 minutes) did not elicit aldosterone suppression (0 → 120 minutes: 29.9 → 21.7 ng/dL).

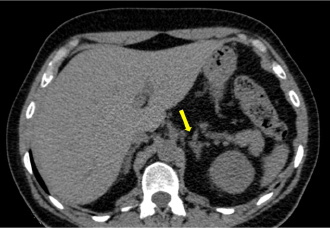
     The abdominal CT scan report did not mention adrenal anomalies but on review the left adrenal image suggested nodular hyperplasia (Figure 2), while the right adrenal appeared normal.

Figure 2: Pre-surgical abdominal CT scan of the patient, showing an enlarged and irregular left adrenal not suggestive of adenoma

      The patient began treatment with low-dose spironolactone (12.5 mg/day). She remains asymptomatic, with normokalemia and normotension confirmed by a new ABPM (mean values 109/72 mmHg, 79 bpm), and unsuppressed PRA (3.2 ng/mL/h).

      With pheochromocytoma/paraganglioma ruled out, the patient underwent laparoscopic renal surgery and a 4 cm left renal mass was successfully removed. The pathology diagnosis was renal oncocytoma, with negative extension study. Surgical removal of the left adrenal was not considered.

      The patient is at present asymptomatic, with near-perfect adherence to the spironolactone treatment; she has discontinued her antidepressant and anxiolytic treatment and reports positive mood and markedly improved quality of life.

      The laboratory values of the patient relevant for her diagnosis are summarized in Table 1.

table 1 Table 1

Table 1: Laboratory values of the patient, before and after medical treatment

Discussion

      Although the prevalence of normotensive PA is not negligible [12], it is only very rarely diagnosed, with only a few dozen cases reported in the medical literature. In most cases, the index symptoms are neuromuscular manifestations of hypokalemia [15]. Also the workup of asymptomatic hypokalemia may reveal PA in a normotensive patient [11].

      Why patients with PA may remain normotensive is an interesting question, reviewed in detail elsewhere [11,16]. A detailed discussion is beyond the scope of this case report, but briefly: Low sodium intake, high green tea consumption, variations in the genes implied in vasoconstriction/vasodilation and in renal Na+ handling, and the counteracting of the pressor effect of hyperaldosteronism by estrogen and progesterone seem to be implied. These effects of estrogen and progesterone may explain why normotensive PA is predominantly found in women of fertile age.

Figure 1: Proportion of Antihypertensive and Nitrate Use, By Medication Class. Percentage of patients in IDH and non-IDH cohorts who received at least one dose from a respective medication class. Significance was not noted across any medication class between groups.

      Hypertensive crisis in patients without sustained hypertension are not usually a cause for suspicion of PA. In particular, a hypertensive crisis elicited by anesthetic induction is primarily associated with pheochromocytoma/paraganglioma [17]. This was clearly ruled out in our patient by the laboratory tests. However, although plasma K+ was presently normal, the review of her lab records showing unexplained and asymptomatic recurrent hypokalemia suggested the possibility of PA, which was strongly supported by the abnormal plasma aldosterone and PRA values. For confirmation we favored the captopril test due to its simplicity and safety. Although the current guidelines for the diagnosis and treatment of PA [5] recommend a suppression < 30% of the plasma aldosterone concentration as the cutoff point for confirmation of PA, recent reassessments of the captopril test show an improved specificity and sensitivity (comparable to those of the saline infusion test, usually considered as the gold standard) using the final plasma aldosterone concentration (with an optimal cutoff of 11 ng/dL) instead of the suppression percentage [18]. The captopril test confirmed PA in our patient by both criteria.

      At present the optimal treatment of patients with normotensive PA is not well established, as its natural history remains poorly understood and no therapeutic trials have been conducted [16]. The abdominal CT scan suggests a possible unilateral (left) adrenal hyperplasia. A standard Adrenal Venous Sampling (AVS) procedure would eventually confirm or discard the lateralization of aldosterone secretion. However at present there is no evidence that patients with normotensive PA benefit from surgery [16]. On the other hand, specific medical treatment with MRA has been shown to normalize both kalemia and plasma renin levels [11]. In our patient, treatment with low-dose spironolactone has been so far effective and well-tolerated, and AVS was not performed, as it is not recommended if the surgical option is not being considered [5].

      A recent area of interest in PA are its associated psychiatric manifestations [8], which have been shown to markedly improve with specific treatment (adrenalectomy or MRA) [9]. The favorable evolution of the symptoms of anxiety and depression in our patient may have been related to the successful treatment of PA, although we cannot establish a cause-effect relationship.

Conclusions

      ● The diagnosis of PA may be complex and cumbersome but is necessary in order to initiate a proper treatment than can result in much better outcomes for our patients.

      ● The absence of maintained hypertension does not exclude the diagnosis of PA.

      PA must be suspected in normotensive patients with unexplained hypokalemia.

      ● PA is grossly underdiagnosed in hypertensive patients, and even more in normotensive ones.

      Normotensive PA is not harmless: it can be associated to symptomatic or severe hypokalemia, target organ damage (cardiovascular and/or renal), mood disorders, and accelerated evolution to resistant hypertension.

      ● Episodic hypertensive crises have rarely been reported in patients with PA without sustained hypertension.

      ● Hypertensive intraoperative crises after anesthetic induction are a possibility (previously unreported) in normotensive patients with PA.

      ● It is presently unclear if patients with unilateral PA may benefit from surgery, but specific medical treatment with a MRA can normalize kalemia and plasma renin levels.

      ● The normalization of plasma renin levels has been shown to greatly improve the prognosis in medically treated hypertensive PA patients; it could be expected (but is so far unproven) that in normotensive PA patients maintaining plasma renin unsuppressed may also prevent target organ damage.

      ● The natural history of normotensive PA is still poorly understood, therefore more clinical and basic research on this condition is warranted.

References

  1. Buffolo F, Monticone S, Burrello J, Tetti M, Veglio F, et al. Is Primary Aldosteronism Still Largely Unrecognized. Horm Metab Res 2017; 49: 908-914.
  2. Rossi E, Perazzoli F, Negro A, Magnani A. Diagnostic rate of primary aldosteronism in Emilia-Romagna, Northern Italy, during 16 years (2000-2015). J Hypertens. 2017; 35:1691-1697.
  3. Funder JW. Primary aldosteronism as a public health issue. Lancet Diabetes Endocrinol 2016; 4: 972-973.
  4. Monticone S, D’Ascenzo F, Moretti C, Williams TA, Veglio F, et al. Cardiovascular events and target organ damage in primary aldosteronism compared with essential hypertension: A systematic review and meta-analysis. Lancet Diabetes Endocrinol. 2018; 6: 41-50.
  5. Funder JW, Carey RM, Mantero F, Murad MH, Reincke M, et al. The Management of Primary Aldosteronism: Case Detection, Diagnosis, and Treatment: An Endocrine Society Clinical Practice Guideline. J Clin Endocrinol Metab. 2016; 101: 1889-916.
  6. Hundemer GL, Curhan GC, Yozamp N, Wang M, Vaidya A. Cardiometabolic outcomes and mortality in medically treated primary aldosteronism: a retrospective cohort study. Lancet Diabetes Endocrinol. 2018; 6: 51-59.
  7. Hundemer GL, Curhan GC, Yozamp N, Wang M, Vaidya A. Incidence of Atrial Fibrillation and Mineralocorticoid Receptor Activity in Patients With Medically and Surgically Treated Primary Aldosteronism. JAMA Cardiol. 2018; 3: 768-774.
  8. Velema MS, de Nooijer AH, Burgers VWG, Hermus ARMM, Timmers HJLM, et al. Health-Related Quality of Life and Mental Health in Primary Aldosteronism: A Systematic Review. Horm Metab Res. 2017; 49: 943-950.
  9. Velema M, Dekkers T, Hermus A, Timmers H, Lenders J, et al; SPARTACUS investigators. Quality of Life in Primary Aldosteronism: A Comparative Effectiveness Study of Adrenalectomy and Medical Treatment. J Clin Endocrinol Metab. 2018; 103: 16-24.
  10. Buffolo F, Monticone S, Tetti M, Mulatero P. Primary aldosteronism in the primary care setting. Curr Opin Endocrinol Diabetes Obes. 2018; 25: 155-159.
  11. Rossi GP. Does primary aldosteronism exist in normotensive and mildly hypertensive patients, and should we look for it? Hypertens Res. 2011; 34: 43-46.
  12. Karashima S, Kometani M, Tsujiguchi H, Asakura H, Nakano S, et al. Prevalence of primary aldosteronism without hypertension in the general population: Results in Shika study. Clin Exp Hypertens. 2018; 40: 118-125.
  13. Stowasser M, Sharman J, Leano R, Gordon RD, Ward G, et al. Evidence for abnormal left ventricular structure and function in normotensive individuals with familial hyperaldosteronism type I. J Clin Endocrinol Metab. 2005; 90: 5070-5076.
  14. Markou A, Pappa T, Kaltsas G, Gouli A, Mitsakis K, et al. Evidence of primary aldosteronism in a predominantly female cohort of normotensive individuals: A very high odds ratio for progression into arterial hypertension. J Clin Endocrinol Metab. 2013; 98: 1409-1416.
  15. Moradi S, Shafiepour M, Amirbaigloo A. A Woman with Normotensive Primary Hyperaldosteronism. Acta Med Iran. 2016; 54: 156-158.
  16. Ito Y, Takeda R, Takeda Y. Subclinical primary aldosteronism. Best Pract Res Clin Endocrinol Metab. 2012; 26: 485-495.
  17. Kenny L, Rizzo V, Trevis J, Assimakopoulou E, Timon D. The unexpected diagnosis of phaeochromocytoma in the anaesthetic room. Ann Card Anaesth. 2018; 21: 307-310.
  18. Song Y, Yang S, He W, Hu J, Cheng Q, et al; Chongqing Primary Aldosteronism Study (CONPASS) Group. Confirmatory Tests for the Diagnosis of Primary Aldosteronism: A Prospective Diagnostic Accuracy Study. Hypertension. 2018; 71: 118-124.

MedDocs Publishers

We always work towards offering the best to you. For any queries, please feel free to get in touch with us. Also you may post your valuable feedback after reading our journals, ebooks and after visiting our conferences.